Cậu bé 14 tuổi bị liệt hai chân do đứt tủy sống sau tai nạn giao thông

Cậu bé 14 tuổi bị liệt hai chân do đứt tủy sống sau tai nạn giao thông

Một cậu bé 14 tuổi ở Khánh Hòa bị liệt hai chân do đứt tủy sống sau tai nạn giao thông vừa được các bác sĩ Bệnh viện Nhi đồng 2 (TP.HCM) phẫu thuật cố định cột sống. Dù khả năng phục hồi vận động rất thấp, ê kíp vẫn nỗ lực cứu chữa...

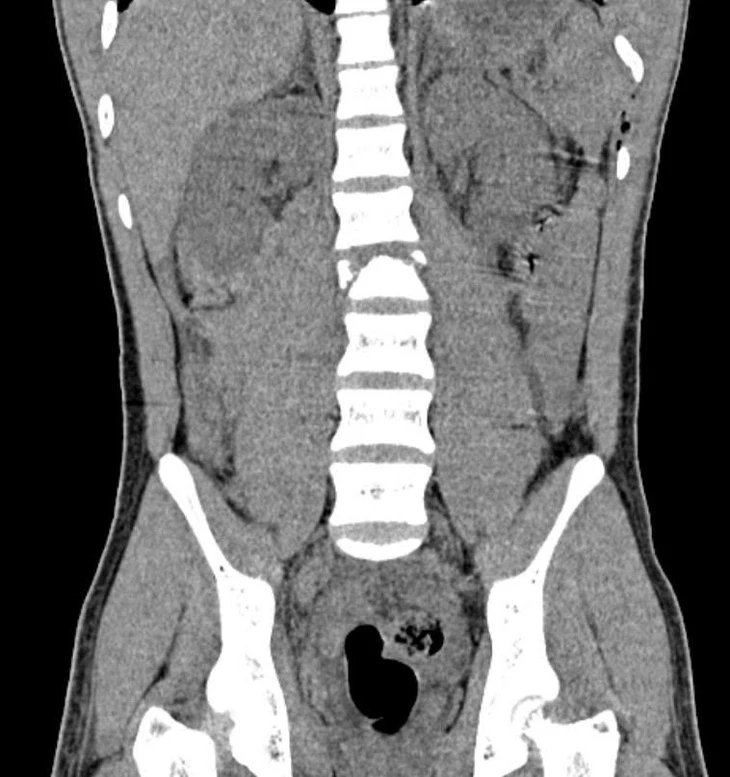
Hình ảnh chụp cắt lớp cho thấy bệnh nhi bị gãy xẹp đốt sống L2 - Ảnh: Bệnh viện cung cấp

Không có bình luận

Đọc thêm