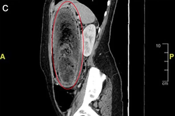
Horrified medics pull giant hairball out of 17-year-old 'Rapunzel's' stomach
-
25/07/2025, 10:29
-
dailystar.co.uk
0
Read more
- today, 09:13
-
independent.co.uk
-
0
- 25/09/2025, 10:29
-
dailystar.co.uk
-
0
- 25/09/2025, 10:28
-
dailystar.co.uk
-
0
- 25/09/2025, 10:28
-
aol.co.uk
-
0
- 25/09/2025, 10:26
-
aol.co.uk
-
0
- 25/09/2025, 10:20
-
dailystar.co.uk
-
0
- 25/09/2025, 10:20
-
dailystar.co.uk
-
0
- 25/09/2025, 10:16
-
aol.co.uk
-
0
No comments