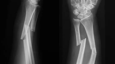
Vous pourrez bientôt réparer votre fracture du bras à l’aide… d’une huître !
-
16/07/2025, 12:34
-
tf1info.fr
0
Lire aussi
- 16/09/2025, 12:34
-
tf1info.fr
-
0
- 16/09/2025, 12:22
-
francetvinfo.fr
-
0
- 16/09/2025, 10:49
-
lexpress.fr
-
0
- 16/09/2025, 10:31
-
tf1info.fr
-
0
- 16/09/2025, 09:49
-
tf1info.fr
-
0
- 16/09/2025, 09:44
-
leparisien.fr
-
0
- 16/09/2025, 08:39
-
tf1info.fr
-
0
Pas de commentaires