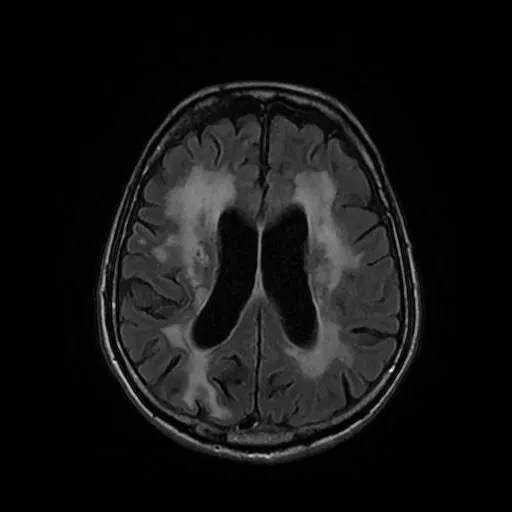
Más allá de la resaca: tres copas al día pueden adelantar 11 años un ictus hemorrágico
-
10/09/2025, 1:05
-
elmundo.es
0
Leer más
- el dia de ayer, 2:00
-
larazon.es
-
0
- el dia de ayer, 1:05
-
larazon.es
-
0
- el dia de ayer, 0:04
-
elmundo.es
-
0
- Este Dia, 0:05
-
elmundo.es
-
0
- Este Dia, 0:05
-
elmundo.es
-
0
- el dia de ayer, 2:00
-
larazon.es
-
0
- el dia de ayer, 1:05
-
larazon.es
-
0
- el dia de ayer, 0:04
-
elmundo.es
-
0
- el dia de ayer, 0:04
-
elmundo.es
-
0
- 08/11/2025, 12:04
-
elmundo.es
-
0
Sin comentarios