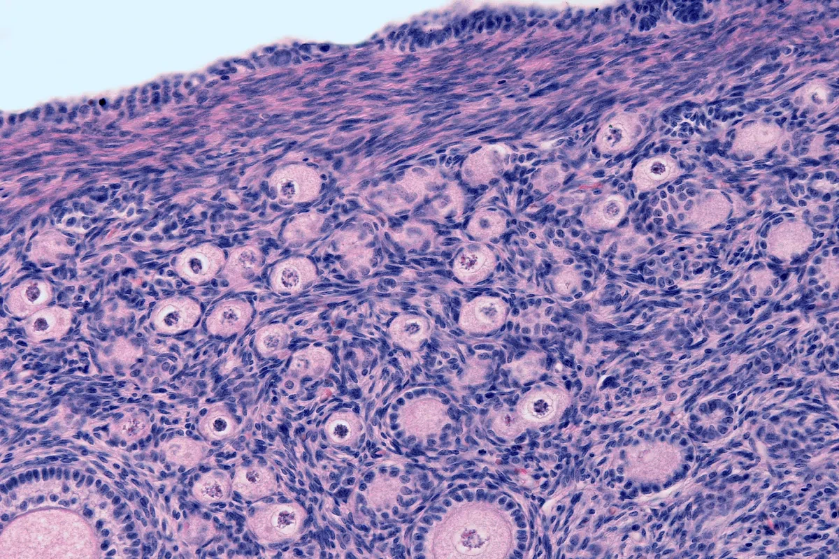
La fertilidad de la mujer no solo depende del número de óvulos: el tejido ovárico y sus conexiones cerebrales son también clave
-
10/08/2025, 0:07
-
elmundo.es
0
Leer más
- Este Dia, 6:31
-
larazon.es
-
0
- Este Dia, 6:31
-
larazon.es
-
0
- Este Dia, 2:25
-
larazon.es
-
0
- el dia de ayer, 0:07
-
elmundo.es
-
0
- el dia de ayer, 0:07
-
elmundo.es
-
0
- el dia de ayer, 0:07
-
elmundo.es
-
0
- 09/10/2025, 16:50
-
elmundo.es
-
0
- 09/10/2025, 10:39
-
larazon.es
-
0
- 09/10/2025, 8:14
-
elmundo.es
-
0
- 09/10/2025, 6:31
-
larazon.es
-
0
Sin comentarios