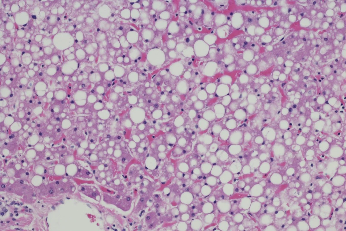
Adultos com gordura no fígado têm 30% mais risco de diabetes tipo 2
-
09/08/2025, 13:54
-
metropoles.com
0
Saiba mais
- hoje, 14:31
-
metropoles.com
-
0
- hoje, 02:01
-
metropoles.com
-
0
- 09/10/2025, 13:54
-
metropoles.com
-
0
- 09/10/2025, 13:24
-
metropoles.com
-
0
- 09/10/2025, 07:01
-
metropoles.com
-
0
- 09/10/2025, 02:07
-
metropoles.com
-
0
- 08/10/2025, 19:19
-
metropoles.com
-
0
- 08/10/2025, 08:45
-
ig.com.br
-
0
- 08/10/2025, 07:06
-
metropoles.com
-
0
Nenhum comentário